Intestinal Ultrasound

Diagnosis of Inflammatory Bowel Conditions

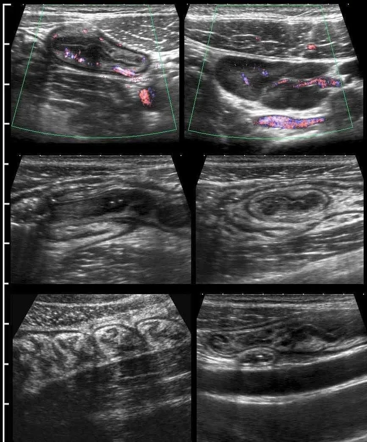
About Intestinal Ultrasound (IUS)

IUS is a type of abdominal ultrasound performed by specially qualified Gastroenterologists who are trained to identify abnormalities in the intestinal wall. It is used to assess and diagnose conditions of the bowel such as Inflammatory Bowel Disease (IBD), constipation, bloating, Crohn’s Disease, Diverticulitis and Ulcerative Colitis.

IUS uses the same equipment as regular abdominal ultrasound however it is performed by specially qualified Gastroenterologists who are trained to identify abnormalities in the intestinal wall. Results are delivered in real-time. There is no radiation involved.

Who might need the procedure?

IUS is helpful in diagnosing and monitoring progression of bowel disease or response to treatments following diagnosis. It is particularly used to:

  • Diagnose conditions of the bowel such as inflammation or areas of concern

  • Monitor disease activity

  • Assess responses to treatments and medications

  • Monitor recovery post surgery

During your appointment

During the procedure, gel is applied to your abdomen to help the transducer move smoothly over your skin. This bounces soundwaves off the organs to visualise the small and large bowel via images on a screen.

IUS takes 15-20 minutes and is done in a clinic setting.

It is completely non-invasive and the procedure is not painful.

After the test

Once the IUS is complete, you can go back to your usual activities right away.

A specialist will review the images, interpret the results, and provide a detailed report. This report will help guide any further testing or treatment that might be necessary.

Location

IUS is performed at Vermont South Consulting Suites (Flex & Form Therapy)

Level 1, 645-647 Burwood Highway

VERMONT SOUTH 3133

Intestinal Ultrasound Fact Sheet

Patient Information